Beispiel Gesamtsanierung
Beispiel Gesamtsanierung
Beispiel Gesamtsanierung
Beispiel Gesamtsanierung
Beispiel Gesamtsanierung

Beispiele

Gesamtsanierung

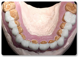
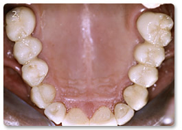
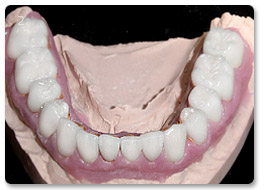
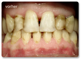
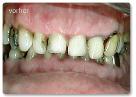
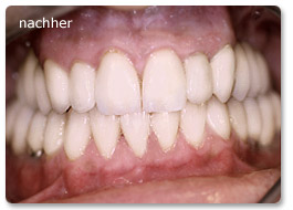
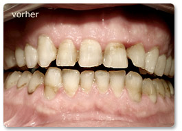
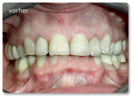
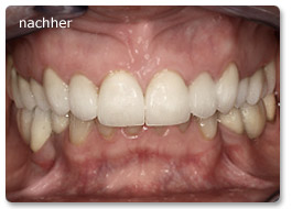
Gesamtsanierungen können mit einer guten Planung in kurzer Zeit durchgeführt werden. Wie bei einem Hausbau benötigt man einen Plan. Photos und Abformungen der eigenen Zähne dienen als Planungsunterlagen. Wir können den Ablauf und das Ergebnis auf Ihren Modellen vor der eigentlichen Behandlung simulieren (Wax-Up, Set-Up) und alle notwendigen Schritte, Materialien und Wünsche bespricht der Zahnarzt mit Ihnen.

Ihr Vorteil liegt in einem genauen Zeitplan und der Vorstellung wie Ihre Zähne nach Abschluss der Behandlung aussehen werden.

Beispiel gesamtsanierung Beispiel gesamtsanierung Beispiel gesamtsanierung
Beispiel gesamtsanierung Beispiel gesamtsanierung Beispiel gesamtsanierung
Beispiel gesamtsanierung Beispiel gesamtsanierung Beispiel gesamtsanierung
Beispiel gesamtsanierung Beispiel gesamtsanierung Beispiel gesamtsanierung

Technischer Ablauf

 

Österreich

White Is Beautiful
A-5020 Salzburg
+43 662-872026
www.wib-zahnarzt.at

Deutschland

MediCastel
D-56547 Westerburg
+49 2663-3966
www.medicastle.de

Schweiz

Geneva Smile Center
CH-1207 Geneve
+41 22 7007856
www.genevasmilecenter.ch

USA

Brian Le Sage
CA-90210 Beverly Hills, US
+1 301 2762468
www.cosmetic-dentistry.com

Impressum


Dentallabor Michaela Schlegel
Moostr.4
5020 Salzburg


Tel.
+43 0660 ­ 4290100
Mail
info@perfekte-uns-schoene-zaehne.at
Web
www.perfekte-und-schoene-zaehne.at

Mitglied der Wirtschaftskammer Österreich
ATU 62865135