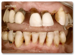
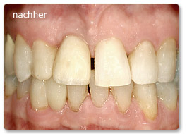
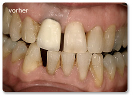
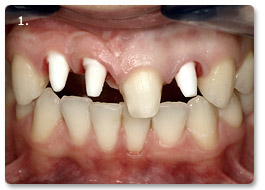
Beispiel Implantat
Beispiel Implantat
Beispiel Implantat
Beispiel Implantat

Beispiele

Implantat

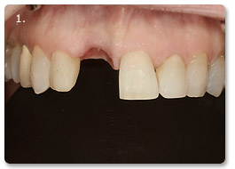
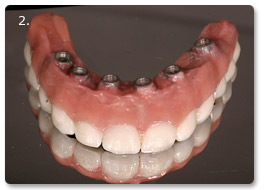
Implantate sind künstliche Zahnwurzeln, die verlorene Zähne ersetzen. Der Vorteil von Implantatkrone, Brücken, Arbeiten:

  • Ersatz von einzelnen Zähne oder mehreren Zähnen ohne die eigenen Zähne zu beschädigen
  • Stabile Verankerung durch die Verbindung zum Kieferknochen
  • Befestigung von Zahnersatz, wenn keine Zähne mehr vorhanden sind
  • Gute und langlebige Versorgung
Beispiel Implantat Beispiel Implantat Beispiel Implantat Beispiel Implantat Beispiel Implantat
Beispiel Implantat Beispiel Implantat Beispiel Implantat Beispiel Implantat
Beispiel Implantat Beispiel Implantat Beispiel Implantat

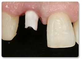
Technischer Ablauf

 

Österreich

White Is Beautiful
A-5020 Salzburg
+43 662-872026
www.wib-zahnarzt.at

Deutschland

MediCastel
D-56547 Westerburg
+49 2663-3966
www.medicastle.de

Schweiz

Geneva Smile Center
CH-1207 Geneve
+41 22 7007856
www.genevasmilecenter.ch

USA

Brian Le Sage
CA-90210 Beverly Hills, US
+1 301 2762468
www.cosmetic-dentistry.com

Impressum


Dentallabor Michaela Schlegel
Moostr.4
5020 Salzburg


Tel.
+43 0660 ­ 4290100
Mail
info@perfekte-uns-schoene-zaehne.at
Web
www.perfekte-und-schoene-zaehne.at

Mitglied der Wirtschaftskammer Österreich
ATU 62865135