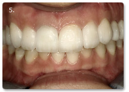
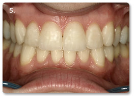
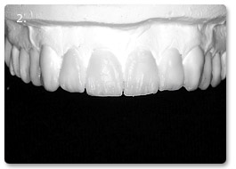
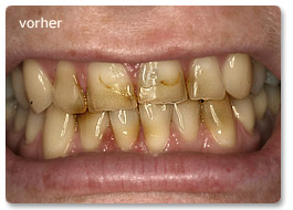
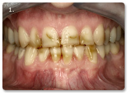
Beispiel Veneer
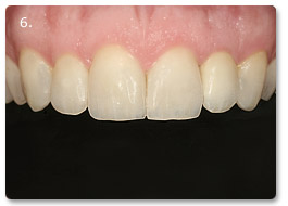
Beispiel Veneer
Beispiel Veneer
Beispiel Veneer

Beispiele

Veneers

Veneers sind hauchdünne Keramikschalen, die auf den eigenen Zahn aufgesetzt werden. Mit dieser Technik sind Zahnformen- und Farbveränderungen möglich. Lücken und Fehlstellungen können so ohne großen Aufwand beseitigt werden.

Die Vorteile von Veneers sind:

  • Der eigene Zahn bleibt fast unversehrt
  • Metallfreier Keramikwerkstoff
  • Zahnähnliche Eigenschaften
  • Kurze Behandlungs/Fertigungzeit
  • Beeindruckende Ästhetik
Beispiel Veneer Beispiel Veneer Beispiel Veneer Beispiel Veneer Beispiel Veneer Beispiel Veneer Beispiel Veneer Beispiel Veneer
Beispiel Veneer Beispiel Veneer Beispiel Veneer Beispiel Veneer Beispiel Veneer Beispiel Veneer
Beispiel Veneer Beispiel Veneer Beispiel Veneer Beispiel Veneer Beispiel Veneer Beispiel Veneer

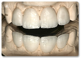
Technischer Ablauf

 

Österreich

White Is Beautiful
A-5020 Salzburg
+43 662-872026
www.wib-zahnarzt.at

Deutschland

MediCastel
D-56547 Westerburg
+49 2663-3966
www.medicastle.de

Schweiz

Geneva Smile Center
CH-1207 Geneve
+41 22 7007856
www.genevasmilecenter.ch

USA

Brian Le Sage
CA-90210 Beverly Hills, US
+1 301 2762468
www.cosmetic-dentistry.com

Impressum


Dentallabor Michaela Schlegel
Moostr.4
5020 Salzburg


Tel.
+43 0660 ­ 4290100
Mail
info@perfekte-uns-schoene-zaehne.at
Web
www.perfekte-und-schoene-zaehne.at

Mitglied der Wirtschaftskammer Österreich
ATU 62865135