Beispiel Zahnregulierung
Beispiel Zahnregulierung
Beispiel Zahnregulierung
Beispiel Zahnregulierung

Beispiele

Zahnregulierung

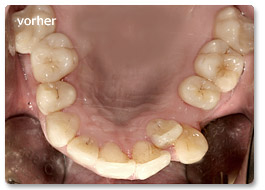
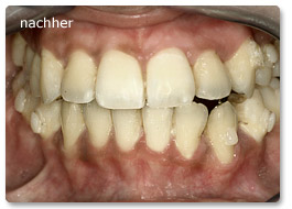
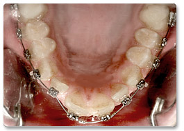
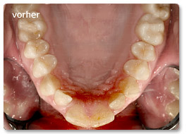
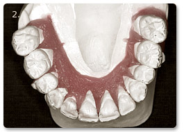
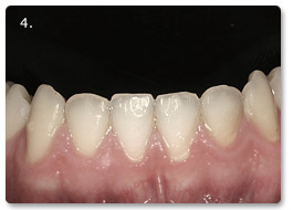
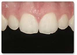
Heutzutage gibt es dank modernster Technik, die Möglichkeit Zahnregulierungen effektiv und sogar unsichtbar durchzuführen.

Ob dies festsitzend oder als herausnehmbares Gerät gestaltet wird, entscheidet der Zahnarzt. Im Vorfeld kann die Behandlung mit einem 3dimensionalen Modell simuliert werden.

Beispiel Zahnregulierung Beispiel Zahnregulierung Beispiel Zahnregulierung Beispiel Zahnregulierung Beispiel Zahnregulierung
Beispiel Zahnregulierung Beispiel Zahnregulierung Beispiel Zahnregulierung Beispiel Zahnregulierung Beispiel Zahnregulierung
Beispiel Zahnregulierung Beispiel Zahnregulierung Beispiel Zahnregulierung Beispiel Zahnregulierung Beispiel Zahnregulierung

Technischer Ablauf

 

Österreich

White Is Beautiful
A-5020 Salzburg
+43 662-872026
www.wib-zahnarzt.at

Deutschland

MediCastel
D-56547 Westerburg
+49 2663-3966
www.medicastle.de

Schweiz

Geneva Smile Center
CH-1207 Geneve
+41 22 7007856
www.genevasmilecenter.ch

USA

Brian Le Sage
CA-90210 Beverly Hills, US
+1 301 2762468
www.cosmetic-dentistry.com

Impressum


Dentallabor Michaela Schlegel
Moostr.4
5020 Salzburg


Tel.
+43 0660 ­ 4290100
Mail
info@perfekte-uns-schoene-zaehne.at
Web
www.perfekte-und-schoene-zaehne.at

Mitglied der Wirtschaftskammer Österreich
ATU 62865135