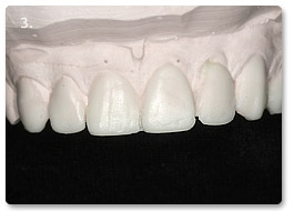
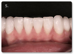
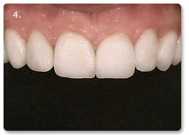
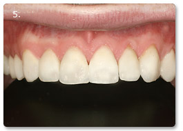
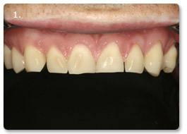
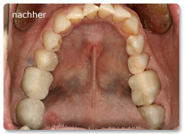
Beispiel Vollkeramik
Beispiel Vollkeramik
Beispiel Vollkeramik
Beispiel Vollkeramik

Beispiele

Vollkeramik

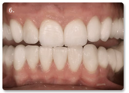
Vollkeramische Werkstoffe sind die Grundlage der modernen Zahnästhetik. Für den Einsatz von Vollkeramikmaterialien sprechen die zahnähnlichen Eigenschaften, die Ästhetik und das große Einsatzspektrum:

  • Einlagefüllungen/Inlays
  • Veneers
  • Kronen, Brücken
  • Kombinierter Zahnersatz
  • Abnehmbarer Zahnersatz
  • Implantatarbeiten

Keramikmaterialien sind biologisch sehr gut verträglich und haben eine lange Haltbarkeit!

Beispiel vollkeramik Beispiel vollkeramik Beispiel vollkeramik
Beispiel vollkeramik Beispiel vollkeramik Beispiel vollkeramik Beispiel vollkeramik Beispiel vollkeramik Beispiel vollkeramik
Beispiel vollkeramik Beispiel vollkeramik Beispiel vollkeramik Beispiel vollkeramik Beispiel vollkeramik Beispiel vollkeramik Beispiel vollkeramik

Technischer Ablauf

 

Österreich

White Is Beautiful
A-5020 Salzburg
+43 662-872026
www.wib-zahnarzt.at

Deutschland

MediCastel
D-56547 Westerburg
+49 2663-3966
www.medicastle.de

Schweiz

Geneva Smile Center
CH-1207 Geneve
+41 22 7007856
www.genevasmilecenter.ch

USA

Brian Le Sage
CA-90210 Beverly Hills, US
+1 301 2762468
www.cosmetic-dentistry.com

Impressum


Dentallabor Michaela Schlegel
Moostr.4
5020 Salzburg


Tel.
+43 0660 ­ 4290100
Mail
info@perfekte-uns-schoene-zaehne.at
Web
www.perfekte-und-schoene-zaehne.at

Mitglied der Wirtschaftskammer Österreich
ATU 62865135